HuH-7人肝癌细胞培养攻略-肝癌研究明星工具(附成瘤性验证)
肝癌,这个沉默的杀手,已成为全球严峻的健康威胁。它不仅是第六大常见癌症,更是全球癌症相关死亡的第三大主因。
人肝癌细胞系(HuH-7细胞系)是一种常用的人肝癌细胞模型,广泛应用于病毒性肝炎(如HCV、HBV)、肝癌发生机制、药物筛选、肿瘤免疫及抗癌药物开发等研究领域。下面小赛为大家介绍这株细胞的背景、培养要点和应用案例。
认识HuH-7细胞系
细胞名称:人肝癌细胞系
英文简称:HuH-7
别称:HUH-7、HuH7、Huh7、HUH7.0、JTC-39、Japanese Tissue Culture-39等
OriCell®细胞货号:H1-1901
OriCell®HuH-7 细胞系完全培养基货号:CMH1-1901(500mL),DMH1-1901(200mL,即用型)
细胞特性:贴壁生长;上皮细胞样
培养条件:95%空气;5% CO2;37℃
培养基:DMEM+10% FBS
倍增时间:48~72h

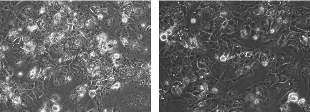
图1. HuH-7细胞正常形态(分别为40X、100X)
HuH-7细胞呈典型的上皮样细胞形态,边界清晰,核仁明显,无空泡化或颗粒物,背景干净,透明度高,折光性好。

图2. HuH-7细胞生长异常形态(100X)
相对正常细胞形态来说,异常细胞形态不规则,失去典型的‘铺路石’状单层排列,细胞核肿胀、核膜不清晰,胞质内出现大量、密集的空泡,细胞透明度下降,折光性变差,视野中有大量细胞碎片、凋亡小体漂浮。

图3. HuH-7细胞带GFP荧光、RFP荧光
HuH-7细胞系收货与培养要点
01 HuH-7细胞系收货后该怎么做?
1. 常温运输瓶:75%酒精喷瓶→超净台→去封口膜再擦瓶口。镜下检查是否大片细胞脱落/污染(如正常,至下一步骤)。静置37℃、5% CO2≥2h,让运输震落的细胞重新贴壁。留2份1mL培养基4℃存样,弃多余培养基,补10mL新鲜完全培养基继续培养。每3天换液,汇合度95%时传代。
2. 冻存管:收到的冻存细胞如24h内复苏:-80℃暂存;>24h:直接液氮保存。复苏前10min转-80℃让液氮挥发。37℃水浴快速融化(剩2mm冰晶即停)→250×g,离心4min→重悬接种T25(≥5mL完全培养基)2h内勿动,让细胞贴壁;次日换液或传代。每3天换液,汇合度95%时传代。
02 传代培养HuH-7细胞系,需要注意哪些要点?
1. 预处理:培养基、PBS、0.25%胰酶均预热37℃。
2. 消化:PBS洗2次→加1.5mL(T25)/3mL(T75)胰酶→镜下70-80%细胞变圆即拍壁脱落。立即加2倍体积完全培养基终止,轻吹打收集。
3. 接种密度:计数法:(2–3)×10⁴活细胞/cm²。比例法:1:4–1:6,96h内可达95%汇合。摇匀后37℃、5% CO2培养。
4. 日常培养:传代次日观察,漂浮多即换液。每3天换完全培养基,汇合度95%再次传代或冻存。
特别提醒:全程37℃预热试剂,动作轻、气泡少。HuH-7贴壁不紧,消化时间宁短勿长,拍壁代替猛吹。若出现聚团,可100×g低速离心2min弃团块后再接。任何异常(大量漂浮、浑浊、空泡)先留样再及时联系细胞供应商。
HuH-7细胞系科研应用
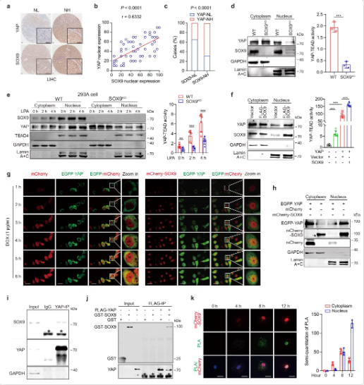
01 HuH KO细胞助力肝细胞癌信号调控机制研究
Signal Transduction and Targeted Therapy(IF=40.8)一篇研究首次证明了SOX9是驱动YAP核转位的关键调节因子,并提出了通过靶向SOX9-YAP相互作用来治疗YAP驱动癌症的潜在策略。
研究人员委托赛业生物构建了SOX9基因敲除(SOX9KO)的HuH-7细胞和HEK-293细胞,并利用过表达SOX9和YAP的慢病毒载体来评估蛋白功能。他们利用免疫共沉淀、体外pull-down分析、邻位连接分析(PLA)和微量热涌动(MST)分析等来探究蛋白之间的相互作用[1]。

图4. SOX9通过与YAP直接相互作用来促进YAP的核转位[1]
02 应用于人源肿瘤细胞系异种移植(CDX)模型
赛业生物已成功建立了HuH-7细胞系的肿瘤移植模型,基于C-NKG、NOD-Scid小鼠作为受体,并通过皮下进行接种。HuH-7细胞系可单独出售,也可提供对应的肿瘤移植模型构建及药效评价服务。
赛业生物验证数据


图5. 肝癌细胞HuH-7皮下移植肿瘤及体重生长曲线(n=6)
将细胞以皮下注射的形式接种到7周的C-NKG和NOD-Scid小鼠体内,并在不同的时间点测量成瘤体积。细胞接种量为5×10⁶/只,数据以Mean±SEM形式呈现。结果显示HuH-7在C-NKG和NOD-Scid小鼠上容易建模。肿瘤体积预计在接种后11天达到100-500mm³,在接种后28天达到3000mm³实验终点,给药窗口期预计在17天左右。
赛业生物Huh-7相关体外模型推荐
1. HuH-7细胞现货及配套试剂
赛业生物OriCell®为科研人员提供稳定且质量可靠的HuH-7细胞供应及支持,细胞通过细菌、真菌、支原体、内毒素检测及STR鉴定,还可提供细胞所需的各类培养试剂。
OriCell®相关产品推荐
|
产品名称 |
货号 |
|
HuH-7 |
H1-1901 |
|
H1-1903 |
|
|
H1-1904 |
|
|
HuH-7 with Luciferase&GFP |
H1-1905 |
|
HuH-7细胞系完全培养基 |
CMH1-1901(500mL)、DMH1-1901(200mL) |
|
乌拉圭标准级胎牛血清FBS |
ST-01033 |
细胞规格:1×10⁶。此外,还可提供Hep G2、SK-HEP-1、SMMC-7721、SNU-182、SNU-398等众多经典肝癌细胞系。
2. HuH-7细胞基因编辑
HuH-7细胞常用于实验室中与肝癌相关的基因表达及功能研究。依托成熟稳定的细胞技术服务平台,赛业生物可提供HuH-7细胞系的基因修饰包括基因敲除、点突变、基因敲入、过表达和干扰等,以及细胞常规功能及特性检测等服务。
KO细胞模型推荐(部分列举)
|
细胞名称 |
基因名称 |
NCBI编号 |
服务编号 |
|
HuH-7 |
ACE2 |
59272 |
SY-KO-00268 |
|
HuH-7 |
ACSL5 |
51703 |
SY-KO-00274 |
|
HuH-7 |
AFP |
174 |
SY-KO-00322 |
|
HuH-7 |
BMI1 |
648 |
SY-KO-00562 |
|
HuH-7 |
EYA2 |
2139 |
SY-KO-00048 |
|
HuH-7 |
HIF1A |
3091 |
SY-KO-00415 |
|
HuH-7 |
IL4I1 |
259307 |
SY-KO-00229 |
|
HuH-7 |
MRPL34 |
64981 |
SY-KO-00160 |
|
HuH-7 |
…… |
…… |
…… |
细胞规格:1×10⁶;还可定制KO细胞服务,“金标准”保证蛋白敲除!
填写需求描述给我们
工具快速咨询
400-680-8038
info@oricellbio.cn